X線を用いて、人体の内部構造を画像として記録します。非侵襲的で短時間の検査が可能なのが特徴です。主な検査部位は胸部、腹部、骨、脊椎になります。
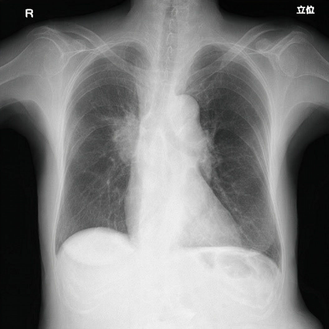
右肺腫瘍(肺癌)
一般X線撮影システム
上腕骨骨折
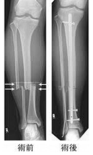
下腿骨骨折通称DXA装置といいます。腰椎及び大腿骨から、骨の強さ(骨密度)を測定します。
骨密度測定器
腰椎と大腿骨の写真CT検査 (Computed Tomography/コンピューター断層撮影法)とは、エックス線を使用し、身体の中の様子をコンピューター処理して、輪切りの断層写真を得る検査です。胸部や腹部などのエックス線写真だけでは診断し難いとき、より詳しく精密に検査する方法として用いられます。
CT
右肺腫瘍(肺癌)
MRI 検査(Magnetic Resonance Imaging / 磁気共鳴映像法) とは、電磁石のトンネルの中に身体を入れ、磁気と電波 を使用して、身体の中の断面写真を得る検査です。現在、一般に使用されている画像診断法であるエックス線撮影やCT検査ではエックス線を使いますが、MRI検査では磁気と電波を使いますので、放射線被ばくの心配がありません。 また、身体の輪切り(横断面)の写真だけでなく、あらゆる角度の断面の写真を得ることができ、病気の部分の診断にたいへん役に立つ精密検査です。
MRCP(A:胆嚢結石 B:総胆管結石)
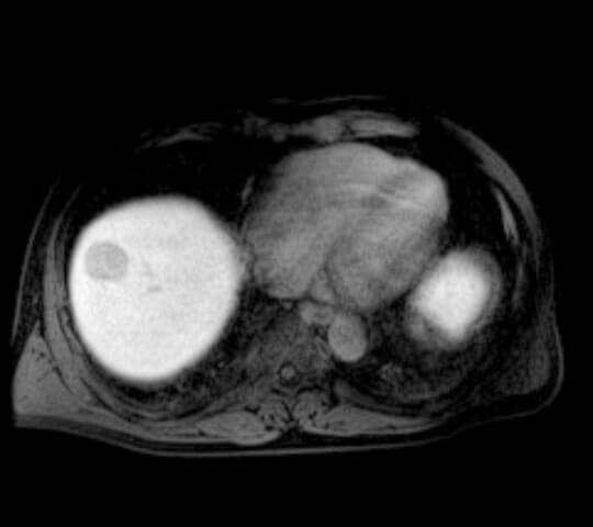
EOB(肝臓腫瘍精密検査)
全脊椎[※注意] 心臓ペースメーカー・金属制心臓人工弁や刺激電極などを身につけている方のMRI検査はできません。
| 外科用イメージ装置 | |
|---|---|
| 移動型X線撮影装置 | 病室撮影する装置です。 |
| 遠隔画像診断設備 | CT・MRI検査は、放射線科医が遠隔にて読影します。 読影結果は、検査翌日に届きます。 |
| 機器名 | メーカー・機種名 |
|---|---|
| X線一般撮影装置 | 島津 Radspeed Pro |
| X線TV装置 | Canon ZEXIRA |
| 移動型 X線撮影装置 | 富士フィルム AQRO |
| 骨密度測定装置 | ホロジック Horizon Ci |
| 外科用イメージ装置 | 島津 OPESCOP ACTENO |
| CT装置 | Canon Aquilion Lightning |
| MRI装置 | GE SIGNA Explorer(1.5T) |
| その他 | PACS、ワークステーション、遠隔読影端末など |


少人数の検査室ですが、幅広い検査を行い多様な検査データを迅速に報告できるよう日常業務に取り組んでいます。また夜間や休日にはオンコール体制で緊急時の検査に24時間対応しています。
検査は病気の診断や治療の指標となるため、その精度維持と質の向上を目指して日々の内部精度管理と定期的な外部精度管理に参加し、常に信頼性のある正確なデータを提供できるよう努めております。その他に、院内感染対策やNSTなどチーム医療の活動にも参加しています。
臨床工学技士は、医師・看護師と連携し、医療機器の操作や保守管理を行う医療専門職です。生命維持管理装置を中心に取り扱い、安全で質の高い医療の提供を支えています。
当院では主に血液透析業務を担当し、透析装置の準備・操作、治療中の監視、終了後の処理まで一貫して対応しています。安全で安定した透析治療の実施に努めています。
人工呼吸器、輸液ポンプ、除細動器、ペースメーカー関連機器などの点検・管理を行い、院内の医療機器の安全性と信頼性を確保しています。
日常点検や予防保全により機器トラブルを未然に防ぎ、迅速な対応体制を整えています。臨床工学技士は医療機器を通じて患者様の生命を支える重要な役割を担っています。
透析装置
輸液ポンプ
人工呼吸器
当院のリハビリテーション室は、理学療法部門、作業療法部門、言語聴覚療法部門の3部門で構成されており、幅広い専門知識を持つスタッフが多数在籍しています。私たちは、リハビリ専門職として、地域の方々が住み慣れた場所で安心して暮らし、その人らしい生活を送れるよう支援しています。
国内外の研修会や講習会に積極的に参加し、常に最新の知識と技術の習得に努め、臨床に活かしています。例えば、認定呼吸理学療法士、3学会合同呼吸療法認定士、日本体育協会公認アスレティックトレーナー、地域認定理学療法士、NST専門療法士(栄養サポートチーム)、福祉住環境コーディネーター2級などの資格を持つスタッフが在籍しています。

私たちは、お食事を単なる「栄養補給」としてだけでなく、治療の大切な一部であり、入院生活における「一番の楽しみ」であると考えています。
当院では、管理栄養士が直接患者さんのもと(病室)へ伺い、お食事の進み具合やお好み、お困りごとを丁寧にお聞きしています。「食欲がわかない」「少し飲み込みにくい」といったお一人おひとりの不安に寄り添い、その日の体調に合わせたきめ細やかな調整を大切にしています。
「治療の影響で食欲がわかない」「食事量を調整してほしい」といった際は、管理栄養士がすぐに病室へ伺います。食べやすいメニューへの変更や、少量で高エネルギーが摂れる栄養補助食品の提案など、今食べられるものを一緒に見つけ出します。
医師、看護師、言語聴覚士らと密に連携を図っています。飲み込みの状態を専門的に評価し、お一人おひとりの力に合わせた最適な食事内容や形態(きざみ、とろみ、ペースト食など)を検討。安全でおいしく食べられるお食事を多職種で支えます。
退院後の食事は、一生続くものです。私たちは「あれもダメ、これもダメ」という制限ばかりの指導ではなく、患者さんのライフスタイルや地元の食文化に合わせ、「これならできそう」と思える具体的な工夫を提案します。
外来栄養指導は通院に合わせて対面でじっくりとお話を伺い、事前予約無しでも栄養指導を受けて頂けます。受診時に主治医へご相談ください。
入院生活の中でも季節の移ろいを感じていただけるよう、旬の食材を活かした「行事食」を提供しています。お正月、節分、ひな祭り、クリスマスなど、彩り豊かなメニューで「心の栄養」をお届けします。

病気の治療に欠かすことのできない「薬」。私たちは、患者さんにとって最も安全で効果的な薬物療法が行われるよう処方の最適化を支援しています。特に、生活習慣病や加齢は、薬物を代謝(無毒化)する機能や排泄する機能に影響があるため、調剤する際に検査値や投与量のチェックを厳重に行っています。また、当院は中山間地域の在宅医療に積極的に取り組んでいるため、私たちも服薬管理のサポートに努めています。
処方箋に記載された薬の用法・用量が、その患者さんに適切か?使用しても大丈夫な体質なのか?のみ合わせは大丈夫なのか?指示通りに服薬してもらうためには一包化※1)が必要か?錠剤やカプセルのままで服薬できるか?※2)など様々なチェックを行い、それぞれの患者さんに最適な調剤を心がけています。なお、指示内容に疑義があるときには処方した医師に確認し、安全性の確保に努めています。 また、検査や診療に必要なのに、安定性が悪く保存がきかない、使用頻度が少なく採算性が悪いなどの理由で製薬企業が製造していない薬については、院内の倫理委員会※3)で安全性を確認したうえで調製(院内製剤)しています。
※1)一包化(いっぽうか)とは、お薬を飲む時間が朝・昼・夕など同じ場合や、一度に何種類もの錠剤を飲む場合、服用する時間ごとにお薬をまとめて一包にすること。これにより、「薬の種類が多くて、服用するときにわかりづらい…」「手が不自由で、くすりを何種類も出すのが難しい」などの悩みがある方にとっては、飲み間違いや薬を紛失するリスクを減らすことが期待されます。また、与薬の際にも確認しやすくなります。
※2)加齢により、嚥下機能が衰えて錠剤やカプセルの服用が難しくなることがあります。その際、錠剤を砕いて粉薬にしたり(粉砕調剤)、カプセルを開けて中の粉薬を出す(脱カプセル)ことがあります。なお、品質上粉砕が難しい薬もあるので、その時は服用直前に55℃ほどの温湯に浸し、薬を崩壊させて懸濁液を服用してもらう「簡易懸濁法」という方法を行うこともあります。
※3)倫理委員会とは 人を対象とする生命科学・医学系研究に関する倫理指針(文部科学省・厚生労働省・経済産業省)に準じて、診療や研究の科学的、倫理的側面を審査する委員会です。
注射薬処方せんに記載された用量、投与経路・速度・期間ならびに配合変化(薬同士が反応して、異物発生や効果低下をおこすこと)の有無などを薬剤師がチェックし、患者さんごとに1日分ずつセットし、払い出しています。また、癌の化学療法用薬剤や中心静脈ルートから注入される高カロリー輸液など高度な無菌性や正確さが必要な薬剤は、無菌設備を用いて混合調剤しています。
薬は正しく使われて、はじめて有効性が判断できます。服薬指導では、薬を正しくお使いいただけるように薬の効能・効果や使用法を説明し、さらには副作用を回避するコツなどをお伝えします。また、のむと尿や便の色が変わるような薬の場合は、患者さんが不安を感じられないように、前もって説明します。また、薬が変更になったときや新しい薬が追加されたときにも説明を行います。「指導」というと、一方的な説明のように聞こえますが、患者さんのお話を聴き、治療に必要な情報を得ることも服薬指導に含まれます。薬をのんでいて気になる点があるときに、薬剤師に聞くことで不安を解消できることもあります。患者さんの中には医師には聞きづらいという方もおられます。そうした時には、薬剤師に気軽に聞いて下さい。服薬指導では、患者さんとのコミュニケーションを大切にしています。
「持参薬」とは入院時に患者さんが持って来られた以前から服用しておられる薬のことです。入院時に「持参薬」の内容を調べることを「持参薬調査・鑑別」と言います。 なお、薬以外のサプリメントや健康食品についても調査させていただきます。これにより、薬の重複やのみ合わせ(相互作用)、服薬状況の確認などができ、患者さんの薬への安全性が向上します。また、薬の副作用が疑われる場合には、原因となっている薬を特定し、中止・減量することで、症状の改善につなげます。
薬歴とは「薬剤服用歴」の略称であり、個々の患者さんが、これまでに使用したことのある薬のほかに、患者さんのアレルギー歴、副作用歴、これまでの病歴なども記録されており、薬物療法の「安全性」と「有効性」を確保するための重要な情報源となっています。
医薬品情報室は、医薬品に関する情報を集積、整理し、提供する部署であり、英語のDrug Informationの頭文字を取って「DI室」とも呼ばれています。DI室には、当院で使用されている医薬品に関する情報だけでなく、他院で使用されている医薬品やOTC薬(市販薬)の情報、医療・医薬品に関する書籍などを取り揃えています。薬剤師はこれらの医薬品情報を、薬の専門家として評価、判断し、医師・看護師・薬剤師・その他の医療従事者ならびに患者さんに提供することによって、より良い薬物療法の発展を図り、医療の向上と効率化に貢献しています。
在庫管理システムへのバーコードの活用など適正な医薬品の購入、保管管理ならびに各部署へのスピーディーな供給を心がけています。特に品質管理(使用期限、温度、湿度、光)には万全を期しており、必要に応じて記録計付きの冷蔵庫で厳格に保管しています。また、血液や組織を原料とする医薬品については、追跡調査が出来るように製造番号、使用した患者様のID、投与量などの情報を20年間にわたり管理しています。
抗がん剤は、安全性と最大限の有効性を確保するために、がんの発生部位や種類によって定められたレジメンに従って使用することになっています。レジメンとは、使用薬剤、投与量、投与回数、休薬期間、また副作用を抑えるのに必要な支持療法(輸液や制吐剤など副作用予防のための薬など)を時系列順に記載した治療計画書を指します。薬剤管理室では、当院で使用される全てのレジメンの審査・登録に関わっています。
また、抗がん剤注射液は正確な秤量や特別な溶解方法など、一般薬に比べて厳密な調製が必要なため、当院では、全ての抗がん剤注射液を、正しい調製手技を習得した薬剤師が無菌的に調製しています。
さらに、治療中は検査値の確認による副作用の早期発見や電話による相談対応などにより患者さんの不安軽減に努めています。
抗MRSA薬(抗生物質)、抗不整脈薬、抗けいれん薬、免疫抑制剤など、さじ加減の難しい薬の血液中の濃度を測定・解析し、個々の患者様にとって最も安全で効果的な薬物療法を医師に提言します。

抗MRSA薬の処方アドバイス例:
現在の投与スケジュールのままだと、最低血中濃度(推定トラフ値)が15.81と高く、腎機能への悪影響が憂慮されます。投与計画案に示したように、1日1回 750mg(1.5V)を30分で点滴すれば、投与終了後1時間値(C1hr)が31.00、最低血中濃度が9.68と理想的な推移を示すものと予測されます。
当院には、「生活習慣病対策委員会」、「感染制御チーム(ICT委員会)」、「がん研究および対策委員会」、「褥瘡対策・栄養サポート委員会」など様々な領域を専門に扱う医療チームがあり、治療にあたっては、医師・看護師・その他の医療スタッフがチーム一丸となって取り組んでいます。薬剤師は個々の患者様が最適で安全な薬物療法を受けられるように医療チームの一員として、他のスタッフと連携を密にして業務にあたっています。
当院は交通の便が悪い中山間地域にあるため、通院が困難な患者さんの在宅医療を積極的に行っています。在宅医療では、主に医師が訪問して診察や経過観察を行う訪問診療、看護師が訪問してケアを行う訪問看護、理学療法士や作業療法士による訪問リハビリテーションが行われています。なお、薬剤師が同行してご自宅での服薬状況を確認させていただくことがありますが、在宅医療を受けておられる患者さんの中には、認知機能や疾患による身体的機能の衰えによって医師から指示された通りの服薬が困難な方も多くおられます。薬剤管理室では、薬の飲み忘れを予防するためのポケット付きカレンダー提供、一包化調剤により複数の薬をまとめるなど、在宅医療のサポートを行っています。さらには、嚥下障害によって薬が飲みにくい場合の対処など一人一人の患者さんに合わせた服薬支援も行っています。
また、当院には、地域医療総合教育研修センターがあり、「鳥取大学医学部地域医療学講座」の医師が、日野病院の総合診療外来と在宅診療、黒坂診療所、さらに日野町行政といっしょに地域包括ケアの推進などに取り組んでおられます。薬剤管理室も「鳥取大学医学部地域医療学講座」の活動に連携し、病院-施設-在宅でのシームレスな薬物療法が行われるよう努めています。
医療技術が高度化されるなか、国は薬学部の教育課程を「6年制」に再編成し、医学部と同様に臨床実習(薬学実務実習)を義務化しました。文部科学省が示すガイドラインには「それまで薬学部で学んできた知識・技能・態度を基に臨床現場で『基本的な資質』の修得を目指し実践的な臨床対応能力を身につける参加・体験型学習」と定義されており、薬剤師として活躍できる基本的な知識・技能・態度、そして問題解決能力の修得を目指すものであるとされています。
実習期間は、薬局実習11週、病院実習11週の合計22週。在宅医療や病棟業務など、おもに「患者体験」を重視した内容が組み込まれています。
薬剤管理室は、「鳥取大学医学部附属病院薬剤部」と連携して実務実習生を受け入れ、当院の特徴である地域医療や在宅医療における薬剤師の役割について学んでもらっています。
薬の取り違え、使用量・使用法の間違いなど、薬が関連したインシデント・アクシデントの発生を最少に抑える「リスクマネージメント」における薬剤師の役割は、多種にわたります。名称の似た薬の採用や配置の見直し、病棟常備薬の管理など、様々な活動を通して医療安全対策へ取り組んでいます。
院内感染における薬剤師の関わりは、感染症関連薬剤の適正使用に関する情報提供です。具体的には、どの病原菌にどの消毒剤や抗生物質が有効に作用するかといった選択基準やその使用法を提供することなどがあげられます。
業務のレベルは、そこで働くスタッフの対応力にかかっており、都市部と地方で差はありません。当院には、医療薬学分野の研鑽を積んだ専門性の高い薬剤師が充実しており、そのスキルを日々の薬物療法支援や後輩育成に役立てています。
| 日本病院薬剤師会 病院薬学認定薬剤師 | 2名 |
| 日本医療薬学会認定薬剤師制度 医療薬学指導薬剤師 | 1名 |
| 日本医療薬学会認定薬剤師制度 医療薬学認定薬剤師 | 1名 |
| 日本老年薬学会 老年薬学指導薬剤師 | 1名 |
| 日本静脈経腸栄養学会 栄養サポートチーム専門療法士 | 1名 |
| 日本薬剤師会 JPALS認定薬剤師制度 レベル6認定薬剤師 | 1名 |
| 日本薬剤師研修センター 認定実務実習指導薬剤師 | 2名 |
当院の院外処方せんに関して疑義がある場合、以下の方法でお問合せ下さい。
→ 処方せんに関する問い合わせである事をお伝え下さい。